Class II malocclusion has historically required multiple appliances. BiteSync offers an integrated alternative.
By Mark N. Coreil, DDS
Before the advent of GPS, taking a road trip was time-consuming due to frequent stops to check paper maps along the way. Yes, I did say paper for readers not old enough to remember this period. Drivers would cover a certain distance, then stop to verify a change in direction at each intersection encountered. Fast forward to today, where the driver is provided with a beautiful, detailed screen map as well as the ever-important audio directions that indicate the next exit to take and what direction to turn. Like GPS, Ormcoโs Spark BiteSync allows you, the driver, to simultaneously navigate Class II correction.
Evolving Approaches to Class II Treatment
I have been practicing orthodontics for 37 years, and like many of you, I have used a variety of fixed appliances and Class II correction techniques. The most common approach to my Class II comprehensive cases involves alignment of the teeth, followed by correction of the Class II using elastics or springs. Phase 1 Class II treatment follows a similar pattern, where we complete maxillary expansion, then alignment of teeth using upper and lower 2 x 4 fixed appliances. Following the fixed phase, I often transition to a nighttime functional appliance in retention to address the Class II relationship.
Why BiteSync Represents a Shift
The orthodontic marketplace is filled with alternative methods aimed at correcting the Class II malocclusion. Many of these methods involve the use of various fixed devices for correcting the sagittal relationship before moving into braces or aligners for the alignment phase of treatment. These techniques separate the Class II correction and the tooth alignment phases of treatment, much like traveling before GPS, separate appliance systems and methods for the different stages. There is no longer a need to separate the two major phases of Class II malocclusion treatment.
Spark BiteSync is a Class II correction system that delivers synchronized mandibular advancement, maxillary distalization, and dental alignment without the need for a separate appliance. The system consists of an Occlusion Guide and a SideBar, connected and powered by Class II elastics. Designed as a system, but with the flexibility to use the components independently.
Learning from the History of Functional Appliances
Using functional appliances for the correction of Class II malocclusion began in the early 1900s with the development of the Bionator (1902), followed by the Activator (1908), then the Twin Block (1970s). While some of these devices encouraged dentoalveolar development and improved tooth alignment, they generally did not facilitate precise tooth movements into optimal positions. The efficacy of skeletal Class II correction using mandibular advancement is well documented in the literature1-4, thus BiteSync is fundamentally sound in its approach to addressing the Class II malocclusion.5
Comfort and Cooperation for Patients
One of the many advantages of BiteSync over traditional functional appliances is comfort and reduced bulk, which allows for improved cooperation and adaptation. The smooth finish, polished edges, and low-profile design remain a favorite feature for patients. Fixed Class II correction devices can be extremely uncomfortable for the patient due to cheek irritation and pinching of the soft tissue. Also, fixed appliances cannot be removed, which often makes eating and cleaning very difficult. BiteSync is a comprehensive approach to comfortable, clean, and effective Class II correction.

How the Occlusion Guide Works
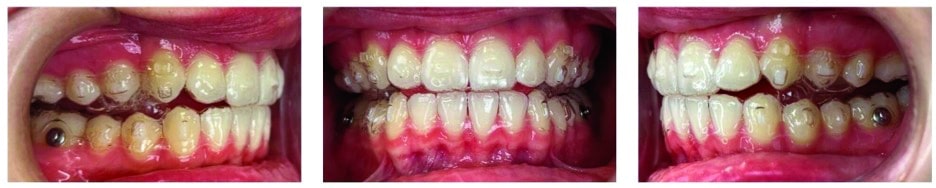
The position of the Occlusion Guide is adjusted to incrementally move the mandible to the desired final bite position (Note: See the online version of this article for a video demonstration). The occlusal height is adjusted by the software (3 to 4 mm from the occlusal plane) to allow proper occlusion and to facilitate the forward positioning of the mandible (Figure 1). The Occlusion Guide has a low-profile and is designed for comfort, allowing it to be well tolerated by the patient and worn full-time. It is very important to train the patient on proper mandibular position when biting down at the delivery appointment. My older teen patients found the guides comfortable and easy to adapt to in the days following delivery. I highly recommend full-time elastic wear for best results and dividing the anterior-posterior correction into 1.5 mm increments every 10 aligners for optimal patient acceptance.

The Role of the SideBar
The SideBar provides structural reinforcement to enhance the effects of Class II elastics through derotation of the upper first molar (Figure 2). The SideBar consists of a hollow bar connecting the upper application point of the Class II elastics (usually upper canine) to an upper molar tooth (usually upper first molar) by the use of attachments. Upper application point can be either an Integrated Hook (with its retention attachment) or a button supported by a vertical rectangular attachment. I prefer the integrated hooks on the canine and lower first molars, which allow for easy application of elastics and fewer returns to the office for replacement of loose bonded buttons. Derotation of the upper first molar is aided by a large bevel attachment to create space (Figure 3). The large attachment is critical for the application of the rotational force from the elastic. As you can see in the video available in the online edition, the elastic assists in guiding the patient into a forward position for proper fit into the Occlusion Guide.

Treating Growing Patients and Mixed Dentition
Similar to the use of Class II elastics, BiteSync can be useful for patients who require correction of Class II malocclusion through the promotion of mandibular advancement and jaw growth (children or adolescents). Distalization of the upper teeth and molar rotation also allows for crowding resolution. BiteSync is designed to accommodate mixed dentition with an Eruption Guide. When using Class II elastics, it is important to consider which teeth are still eruptingโsuch as caninesโas their position may impact elastic placement. Careful monitoring of tooth eruption is essential throughout treatment. In some cases, doctors may prefer to delay treatment until all teeth have fully erupted, depending on the specific clinical situation.
One System, Multiple Phases
During the mixed dentition and early permanent dentition, certain cases will require arch coordination to properly position the upper and lower occlusal surfaces to receive the Occlusion Guides. In these cases, we begin with Spark Aligners and then transition to Occlusion Guides once the coordination is complete. Similarly, after the sagittal component of the Class II is corrected, you can eliminate the Occlusion Guides and move directly into finishing with Spark Aligners. The overriding advantage is that all the steps are accomplished with one system.
Submitting a case for BiteSync is simple. Iโve found the user interface in the Approver software to be outstanding. BiteSync prescription forms allow you to select Occlusion Guide, SideBar, or the Full System. For the Occlusion Guide, select the final position for the mandibular advancement from a dropdown (Class I Molar, Edge to Edge, and Overcorrect). Depending on the number of aligners, the bite jumps are distributed evenly in the Approver. For example, a typical case can have 1.5 mm jumps every 10 aligners. You may request additional aligners for each stage of correction, and I highly recommend that some overcorrection be built into the sagittal correction request. Send specific instructions as needed for each patient via the Treatment Goals section or through a Change Return.

Managing Complex Class II Cases with BiteSync
BiteSync is an excellent choice for managing complex cases. Targeted tooth movement occurs during all stages of treatment, allowing the patient to achieve the desired result efficiently. Here are the phases for complex cases:
The Preparation Phase is used to reduce certain aspects of the malocclusion with Spark before adding BiteSync. This ensures proper placement of the features as well as predictable expression of BiteSync correction. Here are examples of problems needing to be addressed during the Preparation Phase:
- Deep Curve of Spee
- Severe posterior crossbite
- Narrow upper arch
- Deep Curve of Wilson
- Retroclined upper incisors (Class II div 2)ย
- Create sufficient overjet
A re-scan is recommended at the end of this phase.
The Class II Correction Phase is where BiteSync is used following the treatment protocol, which takes into consideration the doctor’s prescription as well as recommended overcorrection of tooth movements to prevent common side effects in Class II correction using aligners and elastics (Figure 4).
A re-scan is recommended at the end of this phase.
Finally, the Detailing Phase is used to obtain final tooth positions and occlusal seating.
Spark Features that Enhance BiteSync
The Spark Aligner system provides exceptional control of tooth positions. The orthodontic market is filled with customized fixed appliances aimed at providing patient-specific treatment, but these systems have the same limitations as all fixed appliances. There are several features within the Spark system that I utilize to maximize control, minimize doctor approval time, and streamline treatment.
- TruGEN and TruGEN: These high-tech aligner materials are proven to perform better than the leading aligner brand due to more sustained force retention, better surface contact with the tooth, and are clearer, more comfortable, and stains less.5
- Real Time Approver: Definitely my favorite feature in the Spark Approver Software, where you can make changes to a case and ask the software to โRecalculate,โ eliminating the need to return the case to the designer for changes. This is a real time saver. If you want to learn more, there is a great video on the help tab in Approver Software featuring Dr Miranda.
- Trimline: I can visualize the trimline more accurately to ensure it meets my expectations, and it helps avoid collisions with attachments at the trimline.
Summary
BiteSync eliminates the need for multiple appliances and modalities for the correction of Class II malocclusions. Whether you choose to start treatment in the mixed dentition or permanent dentition, BiteSync delivers a systematic, controlled, and comfortable solution for the patient. No brackets allows for improved oral hygiene, saving our team valuable time in the clinic and providing parents with something to cheer about. OP
References
- Clark, W.: The Twin Block Technique, AJO, 93: 1-18, 1988.
- Almeida, M.; Henriques, J.; Ursi, W.: Comparative Study of the Frankel(FR-2) and Bionator in the Treatment of Class 2 Malocclusion, AJODO, 121:458-66, 2002.
- Banks, P.; Wright, J.; OโBrien, K: Incremental versus Maximum Bite Advancement During Twin Block Therapy: A Randomized Controlled Clinical Trial, AJODO, 126:583-8, 2004.
- Jena, A; Duggal, R.; Parkash, H.: Skeletal and Dentoalveolar Effects of Twin Block and Bionator Appliances in the Treatment of Class II Malocclusion: A Comparative Study, AJODO, 130:594-602, 2006.
- Data on File with Ormco Corporation.

Mark N. Coreil, DDS, is a board-certified orthodontist and has been practicing orthodontics for 37 years. Throughout his career, he has worked with children who have craniofacial issues and serves as an associate professor of clinical orthodontics at the Louisiana State University School of Dentistry. Coreil graduated from Louisiana State University School of Dentistry in 1986 and completed his orthodontic specialty training there in 1988. He has lectured both nationally and internationally for the past 30 years on topics such as occlusion, airway, mechanics, and appliance design. Disclaimer: Coreil is a paid consultant for Ormco, a medical device manufacturer, which does not dispense medical advice. Clinicians should use their professional judgment in treating their patients.